5.6 Krebserkennung
Je früher eine Krebserkrankung diagnostiziert wird, desto größer sind die Heilungschancen.
- Bild mit Bildunterschrift

- Ultraschall der Brust
Vorsorgeuntersuchungen
Seit 1971 besteht in Deutschland ein gesetzlicher Anspruch auf Krebsfrüherkennungs-Untersuchungen, die die Krankenkassen bezahlen. Ab dem 20. Lebensjahr sollten Frauen unbedingt jährlich die Untersuchung der Scheide und des Gebärmuttermundes (Abstrich) und ab dem 30. Lebensjahr auch die Untersuchung der Brust (Abtasten, Ultraschall) in Anspruch nehmen.
Männern wird die vorsorgliche Untersuchung der Prostata (Abtasten, Ultraschall), der Lunge (Röntgen) und auch des Mastdarmes (Blutspurentest) - wie auch den Frauen - ab dem 45. Lebensjahr empfohlen. Leider nehmen in Deutschland nur jede dritte Frau und jeder zehnte Mann die Angebote war. Dabei kann eine rechtzeitige Diagnose etwa die Überlebenschancen eines Darmkrebspatienten immens steigern. Wird der Tumor erkannt, solange er noch auf die Schleimhaut begrenzt ist, kann die Krankheit in 80-95% der Fälle geheilt werden. Haben sich dagegen schon Metastasen gebildet, sinken die Heilungschancen auf weniger als 10%.
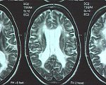
Bildgebende Verfahren
Die meisten bildgebenden Verfahren belasten den Patienten nur wenig. Tumoren der Lunge und der Brust werden in der Regel ab etwa ein Zentimeter Größe beim Röntgen - dem einfachsten bildgebenden Verfahren - sichtbar. Der Ultraschall - ganz ohne Strahlenbelastung - ist die Methode der Wahl, um innere Organe wie Leber, Niere, Milz, Bauchspeicheldrüse, Schilddrüse, Hoden, Prostata und auch die weibliche Brust nach Tumoren abzusuchen. Allerdings erfordert die Interpretation der Bilder viel Erfahrung.
- Bild mit Bildunterschrift

- Computertomographie
Mithilfe der Computertomographie (CT) werden viele einzelne Röntgenbilder erstellt, sodass sich ein kompletter Querschnitt einer Körperregion ergibt. Der Arzt kann mit diesen Bildern die Ausdehnung eines Tumors genau bestimmen und meist entscheiden, ob eine operative Entfernung der Geschwulst möglich ist. Knochenmetastasen lassen sich am besten mithilfe der Skelettszintigraphie aufspüren, bei der dem Patienten ein schwach radioaktives Kontrastmittel gespritzt wird, das sich bevorzugt in den Tochtergeschwülsten anreichert.
- Bild mit Bildunterschrift

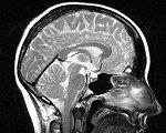
- Kernspintomographie
Ohne Strahlenbelastung kommt die Kernspintomographie oder Magnetresonanztomographie (MRT) aus, bei der die zu "durchleuchtende" Körperregion einem Magnetfeld ausgesetzt wird und letztlich wie bei der Computertomographie viele Schnittbilder entstehen. Um einem Tumor aufgrund seines - im Vergleich zum umliegenden Gewebe - erhöhten Stoffwechsels zu entdecken, wird die Positronenemissionstomographie (PET) verwendet. Mit dem sehr empfindlichen Verfahren werden vor allem Hirntumoren diagnostiziert.
- Bild mit Bildunterschrift

- Endoskopie
Endoskopien
Bei Verdacht auf Dickdarmkrebs führt der Arzt ein flexibles Endoskop in den Mastdarm ein. Das mit einer schwachen Lichtquelle und einer empfindlichen Optik ausgestattete Diagnosegerät überträgt die Innenansicht des Darmes auf einen Bildschirm. Verdächtige Veränderungen an der Darmschleimhaut können bei der Darmspiegelung (Koloskopie) direkt entnommen werden und letztlich im Labor untersucht werden, ob sie gut- oder bösartig sind. Spiegelungen des Magens (Gastroskopie) und der Lunge (Bronchoskopie) laufen nach dem gleichen Prinzip ab.
Test auf Krebsgene
Die erbliche Veranlagung für Brustkrebs lässt sich mit Hilfe molekularbiologischer Tests verhältnismäßig einfach nachweisen. Dabei wird nach genetischen Veränderungen bei den Brustkrebsgenen BRCA1 und BRCA2 (BRCA = breast cancer) gesucht. Beide Gene sind eigentlich Tumorsuppressor-Gene, die vor unkontrolliertem Zellwachstum schützen sollen. Sind sie krankhaft verändert, fehlt diese Kontrolle und Gewebe kann ungehindert wuchern. Der Gentest wird eigentlich nur durchgeführt, um festzustellen, ob eine familiär vorbelastete Frau ein erhöhtes Krebsrisiko hat. Selbst wenn das der Fall ist, kommt es nicht zwangsläufig zu einer bösartigen Geschwulst. Die Betroffenen werden dann aber meist einem engmaschigeren Vorsorgeprogramm unterzogen.
Vielversprechend ist auch ein neuerer Test, der nach Spuren des Tumorsuppressor-Gens p53 im Blutserum fahndet. Mutationen des Gens p53 führen ebenfalls zum Verlust der tumorunterdrückenden Eigenschaften. Solche Mutationen treten bei 60% bis 80% aller Tumoren auf und zwar unabhängig davon, in welchen Organen sie entstehen. Die Folge: Es entsteht vermehrt p53-Protein, auf das Krebskranke mit der Bildung von sogenannten p53-Autoantikörpern reagieren. Mithilfe des p53-Tests lassen sich mit hoher Wahrscheinlichkeit Tumorerkrankungen auch schon im Frühstadium nachweisen.




